Sono piccole, rotonde e piatte e sempre più diffuse: le pile “a bottone” al litio, molto utilizzate nei giocattoli e in altri oggetti comuni in ambiente domestico, rappresentano un pericolo proprio per i più piccoli che potrebbero ingerirle. Lo ha segnalato pure il Ministero della Salute qualche anno fa. E proprio un caso del genere è stato gestito e risolto dal Pronto Soccorso pediatrico dell’Azienda Ospedaliera per l’emergenza Cannizzaro di Catania, dove nei giorni scorsi si è presentato un bambino di sei anni proveniente da Gela, con un corpo estraneo nello stomaco: aveva avuto per le mani una batteria e l’aveva messa in bocca, ingoiandola.
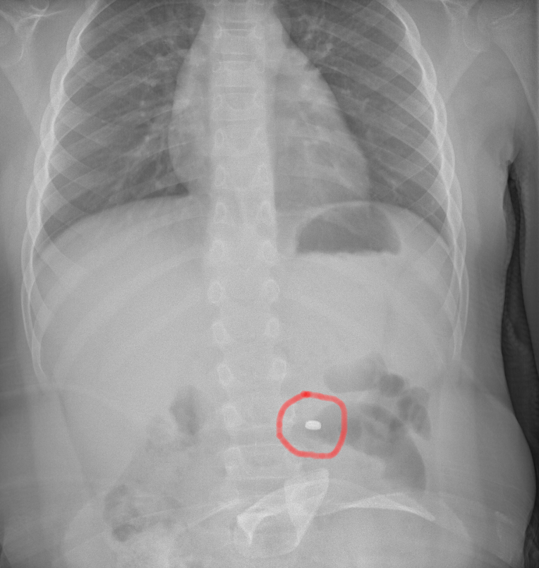
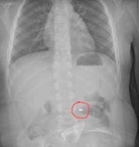
La famiglia, naturalmente spaventata, dopo una prima valutazione al PS della propria città, è stata indirizzata all’Ospedale Cannizzaro di Catania. Qui i medici hanno compreso il pericolo e applicato le linee guida riferite precisamente all’ingestione di una pila a bottone. Eseguita la radiografia dell’addome che ha messo in evidenza la presenza e la localizzazione del corpo estraneo, il bambino è stato condotto in sala operatoria dove gli endoscopisti, con l’assistenza degli anestesisti, hanno potuto estrarre in sicurezza il piccolo oggetto, prima che esso potesse causare conseguenze più importanti. Dopo una notte in osservazione, tornato in piena salute, il bimbo ha fatto rientro a casa con i genitori.
«Queste batterie – spiega la dott.ssa Antonella Di Stefano, direttore dell’UOC di Pediatria e PS Pediatrico – sebbene di piccole dimensioni possono causare danni sia per l’effetto elettrico e sia a seguito del rilascio di sostanze dopo l’eventuale apertura, tanto all’esofago quanto allo stomaco. Nei casi più gravi si può avere la perforazione esofagea, pertanto è indispensabile intervenire tempestivamente, come ha fatto il nostro personale operando con professionalità e prontezza.
Facciamo nostra la segnalazione del Ministero della Salute, che ha osservato un incremento negli ultimi anni degli incidenti legati all’ingestione di pile a bottone, soprattutto nei bambini più piccoli che spesso riescono ad impossessarsene. La prima attenzione da avere – conclude la dott.ssa Di Stefano – è che gli alloggiamenti siano ben protetti e saldamente chiusi, se poi si ritiene che le batterie possano essere state ingerite è fondamentale rivolgersi al Pronto Soccorso pediatrico».






